티스토리 뷰
목차
오늘날 우리는 전 세계 수많은 사람들에게 영향을 미친 잠재적으로 심각한 전염성 질병인 결핵에 대한 내용을 알아보도록 하겠습니다. 예전부터 결핵은 오랫동안 건강 문제였지만 의학의 놀라운 발전 덕분에 이제 우리는 이러한 질병을 깊이 있게 이해할 수 있게 되었습니다. 이번 포스팅 글에서는 결핵과 관련된 원인, 증상, 치료 방법 및 예방 조치를 탐구하여 자기 자신의 주변 사람을 보호하는 데 필수적인 정보를 알려드리고자 합니다.
결핵 이란 무엇인가?
결핵은 결핵균(Mycobacterium tuberculosis)에 의해 발생하는 전염병입니다. 주로 폐에 영향을 주지만 신장, 척추 및 뇌와 같은 신체의 다른 부분을 표적으로 삼을 수도 있습니다. TB(결핵)는 감염된 개인이 기침, 재채기 또는 말을 할 때 공기를 통해 퍼지며 박테리아가 포함된 작은 물방울을 방출합니다. 근처에 있는 사람들이 이 비말을 흡입하여 감염될 수 있습니다.
박테리아는 체내에 휴면 상태를 유지하여 잠복성 결핵 감염으로 이어질 수 있으며, 이 경우 사람은 증상을 보이지 않고 전염성이 없습니다. 그러나 면역 체계가 약해지면 박테리아가 활성화되어 활동성 결핵이 발생할 수 있습니다. 일반적인 증상으로는 지속적인 기침, 흉통, 피로, 체중 감소, 발열, 식은땀 등이 있습니다.
증상 및 위험요인
1. 증상
- 활동성 결핵은 감염 부위에 따라 다양한 증상을 나타냅니다. 가장 흔한 형태는 폐에 영향을 미치는 폐결핵입니다. 폐결핵 환자는 몇 주 동안 지속되는 기침과 같은 증상을 경험할 수 있으며, 때로는 피가 섞인 가래, 흉통, 숨 가쁨, 피로, 설명할 수 없는 체중 감소, 발열 및 식은땀을 흘릴 수 있습니다.
- 폐 외 결핵은 박테리아가 다른 기관에 영향을 미칠 때 발생합니다. 영향을 받는 부위에 따라 증상이 다를 수 있습니다. 예를 들어, 척추 결핵(Pott's disease)은 허리 통증과 척추 기형을 유발할 수 있는 반면, 결핵 수막염은 뇌에 영향을 미치고 심각한 두통, 착란, 심지어 혼수상태까지 유발할 수 있습니다.
2. 위험요인
특정 요인은 잠복 감염으로 인해 결핵에 걸리거나 활동성 질병이 발생할 위험을 증가시킵니다. HIV/AIDS, 당뇨병, 면역 억제 치료를 받고 있는 사람들과 같이 면역 체계가 손상된 사람들은 더 취약합니다. 또한 영양실조, 약물 남용, 혼잡하거나 환기가 잘 되지 않는 지역에서의 생활도 위험에 기여합니다.
진단
결핵의 신속하고 정확한 진단은 효과적인 관리를 위해 매우 중요합니다. 결핵 진단은 증상이 다른 호흡기 질환의 증상과 유사할 수 있으므로 어려울 수 있습니다. 의료 전문가는 종종 신체검사와 자세한 병력 평가로 시작합니다.
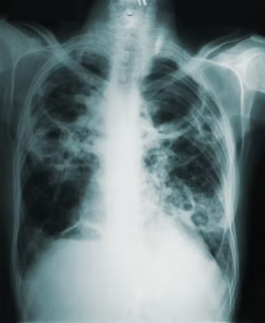
결핵 감염을 확인하기 위해 다양한 검사가 가능합니다. 투베르쿨린 피부 검사(TST) 또는 Mantoux 검사는 소량의 정제된 TB 단백질을 피부에 주사하는 것과 관련이 있으며 반응은 48-72시간 후에 평가됩니다. 또는 인터페론-감마 방출 분석(IGRA)과 같은 혈액 검사가 결핵 감염을 감지하는 데 도움이 될 수 있습니다. 이러한 검사에서 감염 가능성이 나타나면 추가 조사가 필요합니다. 흉부 X-레이와 같은 영상 검사는 폐의 이상을 밝힐 수 있는 반면, 가래 검사는 결핵균의 존재를 확인하기 위해 기침으로 생성된 점액 샘플을 분석하는 것과 관련됩니다.
치료 방법
결핵을 치료하려면 장기간에 걸친 항생제 조합이 필요합니다. 목표는 박테리아를 제거하고 재발 또는 약물 내성 변종의 발달을 예방하는 것입니다. 사용되는 특정 약물과 치료 기간은 결핵의 유형과 박테리아의 약물 감수성에 따라 다릅니다. isoniazid, rifampicin, ethambutol 및 pyrazinamide와 같은 1차 약물은 일반적으로 약물 감수성 결핵에 대한 표준 치료 요법에서 6개월 동안 투여됩니다. 환자는 성공적인 결과를 보장하고 치료 실패를 방지하기 위해 치료 계획을 엄격히 준수해야 합니다. 그러나 약물 내성 결핵은 결핵 통제 노력에 중대한 도전을 제기합니다. 다제내성결핵(MDR-TB)은 최소한 이소니아지드와 리팜피신에 내성이 있는 반면 광범위약제내성결핵(XDR-TB)은 추가 약물에 내성이 있어 치료가 더 복잡하고 오래 걸립니다. 이러한 경우 독성이 더 높은 2차 약물이 사용되며 치료 기간은 최대 18-24개월까지 연장될 수 있습니다. 약물 내성 결핵을 관리하려면 부작용을 완화하고 장기적인 치료 요법을 준수할 수 있도록 면밀한 모니터링과 지원이 필요합니다.
예방 조치
결핵 확산을 예방하는 것은 특히 고위험 지역과 지역 사회에서 매우 중요합니다. 취할 수 있는 몇 가지 예방 조치는 다음과 같습니다.
- 좋은 위생 유지 : 손을 자주 씻고 기침이나 재채기를 할 때 입을 가리면 박테리아가 퍼질 위험이 줄어듭니다.
- 감염된 개인으로부터 멀리 떨어져 있습니다: 활동성 결핵이 있는 사람을 알고 있다면 더 이상 전염성이 없어질 때까지 긴밀한 접촉을 제한하십시오.
- 예방접종을 받으십시오. 일부 국가에서는 Bacillus Calmette-Guérin(BCG)이라는 백신을 투여하여 그 효과가 다양할 수 있지만 심각한 형태의 결핵을 예방합니다.

결핵은 전 세계적인 건강 문제로 남아 있지만 조기 발견과 적절한 치료를 통해 관리 및 치료가 가능합니다. 당신의 지인이 결핵을 암시하는 증상을 발견하시는 경우 즉시 치료를 받도록 해야 합니다. 원인, 증상 및 예방 조치를 이해하면 이 질병의 확산을 통제하고 취약한 인구를 보호하는 데 도움이 될 수 있습니다. 인식을 제고하고 의학 연구를 지원함으로써 우리는 결핵 퇴치와 모두를 위한 더 건강한 세상을 만들기 위해 함께 노력할 수 있습니다. 다 함께 건강하게 살기 위해서 이러한 정보성 글을 공유하고 숙지하시기 바랍니다.
'건강' 카테고리의 다른 글
| 뇌출혈의 원인 및 증상과 치료방법 그리고 예방법 (0) | 2023.08.19 |
|---|---|
| 청력 손실 난청 원인 증상 및 치료 방법 (0) | 2023.08.18 |
| 백혈병의 종류와 증상 및 치료 방법 (0) | 2023.07.24 |
| 만성 피로 증후군를 정확하게 진단하고 알아보자 (0) | 2023.07.23 |
| 치명적인 뇌졸중의 원인, 증상 및 치료에 대한 종합 가이드 (0) | 2023.07.21 |